Click here for a FREE phone consultation!
At Memphis Neurofeedback, LLC we use cutting edge science to assess your brain so you can better address your issues. One very powerful tool in our toolbox is neuroimaging, otherwise known as brain mapping. Just like having a map to the territory you are navigating helps you find your way, having a map of your brain helps you understand and address your issues and goals.
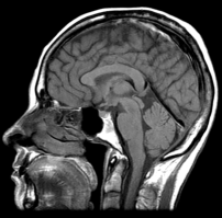
There are two kinds of neuroimaging (brain mapping): structural and functional. A structural neuroimage looks at the parts of the brain to see if they are there and intact. CT scans and MRI look at the parts, they are structural neuroimaging techniques.

Here’s an example of a structural neuroimage from a standard MRI. This allows you to see if the parts are there, but not if they are working right. It’s like looking at the engine of a car. It may look fine but unless you try to start it you don’t know if it runs. It is an interesting fact that the MRI of a live brain is indistinguishable from that a dead one.

Functional neuroimages look at the activity of the brain, how it’s working. A common approach to functional neuroimaging is to compare an individual’s brain function to norms to discover regions of abnormal functioning. This enables us to see where the brain is either failing or functioning better than average. Here’s an example of a functional MRI (fMRI) superimposed on a structural MRI to illustrate specific brain region activity.
Electrical neuroimaging is functional neuroimaging derived from the electroencephalogram (EEG). At Memphis Neurofeedback we use a type of electrical neuroimaging that can show, in real-time, the activation and connectivity of any of 6000 regions of the brain (sLORETA). While this is very interesting, it becomes even more interesting when the person whose neuroimage is being generated gets to watch that neuroimage in a way that enables them to change it. That’s called electrical neuroimaging biofeedback and we at Memphis Neurofeedback have helped thousands of people change their brains and improve their lives with these techniques. In our experience, this is undoubtedly the most powerful brain training method available.
While fMRI neurofeedback has been shown to allow individuals to modify their brains in very specific ways in just a single session of training, it is unfortunately very expensive and not widely available. It is also relatively slow compared to EEG neurofeedback. This is because fMRI neurofeedback relies on blood oxygen level changes while EEG relies on changes in electrical fields. Thus while fMRI can respond in a few seconds, EEG responds in milliseconds.
EEG Biofeedback has been around since the 1960’s and is well accepted as a powerful clinical tool for improving brain function. Although not quite as precise as fMRI neurofeedback, which can target a single millimeter of brain tissue, EEG Biofeedback is able to provide feedback to the trainee 32 times per second and target a single cubic centimeter of the brain. This enables a trainee to improve the function of any area of their brain’s cortex and many areas of the sub-cortex.
At Memphis Neurofeedback we use the most advanced form of EEG Biofeedback (LORETA Z Score Neurofeedback) which takes a 3D functional neuroimage 32 times per second, compares this to the norms, and provides information to the trainee 32 times per second about how well their brain is doing reaching a goal. Sounds complex, and it is, but the trainee only has to watch a favorite movie or simple video game that informs them, faster than they can think, about their success. And in the process the trainee remodels their brain. Here are the steps involved in that process:
Raw electrical waves are recorded from the surface of the scalp at 19 locations.
Surface maps are generated (the colors represent comparisons with normal or Z Scores).
With the aid of computers and neuroscience we progress from the surface EEG signals to surface topographic maps to 3-D tomographic functional neuroimages involving thousands of measurements from 6 thousand voxels (3-D pixels) updated 32 times per second. These maps are used in the background to provide the feedback (movie or video game) that enables the trainee to remodel and rewire their brain. Just by watching (and applying the well-known science of operant conditioning ) you can optimize your brain’s function. It’s like working out a muscle at the gym, if you do it right the muscle will get stronger and bigger. Just about any function of the brain can be strengthened with neurofeedback. It is possible to rewire and remodel your own brain to improve your function and experience.
The fact is, your brain is being remodeled and rewired now, whether you know it or not. Wouldn’t it be nice to know you are taking charge of that process and doing so with the most useful and powerful techniques available?